

At Smokey Point Family Dentistry, we believe in more than just replacing teeth—we believe in restoring confident, radiant smiles that function beautifully every day. As our in-house prosthodontist, Dr. Ellie Rahmani guides patients through advanced restorative care with precision, comfort, and true artistry. Whether you’re missing teeth, dealing with wear or damage, or ready for a full smile transformation, you’re never just receiving treatment—you’re receiving compassionate care from a team that treats you like family.
When teeth are missing, worn, fractured, or misaligned, simple fixes don't always achieve long-term comfort or esthetics. Prosthodontics is the specialty focused on rebuilding both function and beauty, whether for:
With Dr. Rahmani’s advanced training and our trusted lab partners, every restoration is crafted to look natural, feel comfortable, and last.

For patients seeking a stable, long-lasting alternative to dentures, fixed implant solutions offer a transformative option. Using four to six precisely placed implants, we can secure a full-arch bridge that:
This is one of the most life-changing treatments prosthodontics offers, and Dr. Rahmani has extensive training in full-arch rehabilitation.
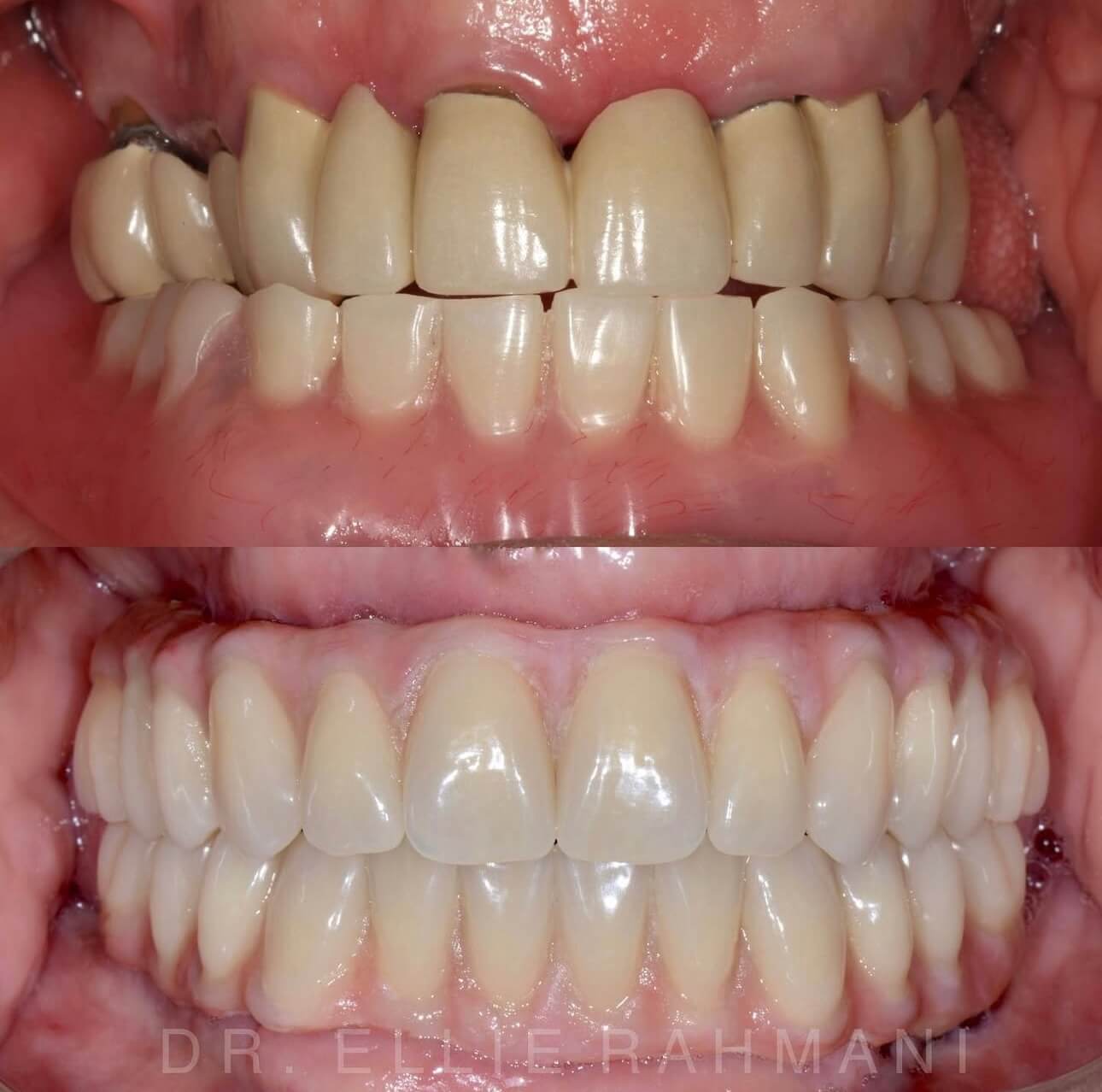
If you’ve experienced years of wear, tooth loss, bite collapse, or widespread damage, you may benefit from a comprehensive full-mouth rehabilitation plan. This approach combines restorative, implant, and cosmetic treatments to rebuild:
This is one of Dr. Rahmani’s core specialties—she creates treatment plans that address the full system of teeth, muscles, and joints to deliver sustainable, life-changing results.

Prosthodontics blends engineering with artistry. We design durable, premium restorations—including crowns, veneers, and bridges—that:
Every restoration is tailored to your facial features, smile goals, and oral health needs.
For patients wanting the security of implants with the flexibility of a removable option, implant-supported dentures offer:
They can “snap” into place using implant attachments, reducing movement while still allowing easy cleaning.

While modern implant solutions continue to advance, traditional dentures remain an effective, customizable treatment for many patients. We provide:
Contemporary materials and techniques ensure improved comfort, appearance, and function. Dentures also help maintain facial support and restore confidence.

Dr. Ellie Rahmani is a highly skilled prosthodontist known for creating healthy, confident, and naturally beautiful smiles through a blend of science, precision, and artistic vision. Her dental journey began in 2008, giving her nearly two decades of hands-on experience.
She specializes in:
Her passion for advanced restorative dentistry led her to complete three additional years of prosthodontic residency training at Rutgers University—one of the nation's leading programs for full-mouth rehabilitation and implant dentistry.
Dr. Rahmani is a proud member of:
Outside the office, she enjoys exploring the Pacific Northwest with her husband and toddler—hiking, swimming, cycling, and taking in the natural beauty of Washington. She also regularly shares patient transformations on Instagram (@dr.ellie.rahmani) to educate and inspire those considering a smile makeover or restorative care.
If you’re ready to restore your smile, improve your oral function and work with a team that treats you like family, we’re here for you.
Call us today at (360) 658-3000 to schedule your prosthodontic consultation with Dr. Ellie Rahmani. Or click to Book Online – we’re accepting new patients and would be honored to welcome you to our Arlington dental office. We look forward to helping you smile, speak and live confidently again.
Can't find what you're looking for? Contact us today and our friendly office staff will be happy to help!
